More Information

Submitted: 05 January 2020 | Approved: 12 January 2020 | Published: 13 January 2020

How to cite this article: Nath RK, Rajvanshi S. Occluded superior vena cava and failed epicardial pacing: An unorthodox solution. J Cardiol Cardiovasc Med. 2020; 5: 014-016.

DOI: 10.29328/journal.jccm.1001079

Copyright License: © 2020 Nath RK, et al. This is an open access article distributed under the Creative Commons Attribution License, which permits unrestricted use, distribution, and reproduction in any medium, provided the original work is properly cited.

Keywords: Complete heart block; Pacemaker; Transiliac; Superior vena cava

Occluded superior vena cava and failed epicardial pacing: An unorthodox solution

Ranjit K Nath1* and Satyam Rajvanshi2

1Department of Cardiology, ABVIMS & Dr. RML Hospital, New Delhi, India
2Department of Cardiology, Rajvansh Hospital and Institute of Medical Sciences (RHIMS), Muzaffarnagar, UP, India

*Address for Correspondence: Dr. Ranjit Kumar Nath, MD, DM, FESC, FSCAI, FACC, Professor of Cardiology, ABVIMS & Dr. RML Hospital, New Delhi, India, Tel: +91-9971138171; Email: [email protected]

Permanent pacemaker implantation is conventionally done via upper limb veins. But in 1% - 6% cases, usual sub clavicular approach is either not possible or contraindicated due to complete occlusion of superior vena cava (SVC) or bilateral subclavian vein and/or bilateral implant site infection or thin skin [1]. Alternative approaches are warranted, including leadless pacemaker or complex lead extraction techniques, before considering surgical epicardial lead placement as a last resort because it has own hazards. We report a patient with complete heart block, total SVC obstruction, and a previously implanted malfunctioning epicardial lead presenting with pacemaker end of life. In view of exhaustion of the surgical option and in a resource constrained situation for lead extraction or leadless pacemaker, transiliac endocardial pacemaker implantation was done and a repeat surgery was averted.

Learning objective: Complete venous occlusion is not very often encountered after pacemaker/ICD implantation. Apart from the risk of general anesthesia and invasive surgery, epicardial leads increase battery drain, and have a shorter operating life compared to an endocardial lead. The sparingly utilized iliac venous approach for permanent pacemaker implantation is a valuable, safe and minimally invasive alternative, when the conventional percutaneous access is unavailable, and surgery is undesirable or not possible.

Occlusion of SVC or bilateral subclavian veins and bilateral pectoral site infection precludes use of conventional route of permanent pacemaker/ICD insertion. Anterograde and retrograde techniques to restore subclavian/SVC patency has been described [2]. Unconventional vascular access options include more proximal access of subclavian veins, internal jugular veins, external jugular veins, femoral and iliac veins and direct inferior vena cava route; to be tried according to site of obstruction [2].

We hereby report a post-permanent-pacemaker patient with total SVC obstruction and a previously implanted malfunctioning epicardial lead, presenting with complete heart block due to pacemaker end of life. Transiliac endocardial pacemaker implantation averted a repeat major surgery.

A 49-year-old gentleman was admitted to our hospital with episodes of presyncope/syncope due to complete heart block in 2010. He underwent a DDDR (REDR01-RELIA, Medtronic, USA) pacemaker implantation via right subclavian route uneventfully. In 2015, his symptoms recurred due to ventricular undersensing and non-capture by insulation failure of ventricular (RV) lead. Lead replacement was planned, but to our dismay, SVC was found completely occluded (Figure 1A,C). Percutaneous recanalization of SVC and lead extraction via femoral route failed, as wire always ended up in false lumen (Figure 1D) and dense fibrosis prevented lead mobilization. In another sitting, recanalization was attempted by transseptal puncture needle via left subclavian route, but was abandoned due to a small self-contained SVC perforation (Figures 1E,F). Finally, he underwent surgical epicardial RV lead placement and pulse generator was implanted in left subpectoral region.


Download Image

Figure 1: Complete SVC occlusion (A-C). Recanalization failed despite attempted balloon dilation (D), transseptal needle puncture via femoral route, and transseptal needle puncture via left subclavian route (E) – which created a contained perforation (F).

After a span of only 2 years, he presented again with syncope due to lead malfunction (high impedance, high threshold). Increased device output (5.0 volts at 1.0 ms pulse width) caused persistent diaphragmatic stimulation and premature battery drainage.

Due to exhaustion of other options, alternative access option was warranted. Therefore, pacemaker implantation via right external iliac vein (EIV) was considered. Under aseptic conditions and local anesthesia, a guidewire was placed in right common iliac vein by puncturing right femoral vein. With fluoroscopic guidance, right EIV was punctured 4 cm above midpoint of inguinal ligament after making an incision and dissecting upto fascial plane, with a 16-gauge needle taking care to avoid arterial puncture (Figure 2). Using a 16 cm peel away sheath, a long RV active fixation lead (Lead 5076, 85 cm, Medtronic) was screwed in RV apex after satisfactory pacemaker parameters were achieved. An alpha loop was made in right atrium to reduce risk of dislodgement (Figure 3). An inverted L-shaped dissection was done around puncture site and lead was doubly secured to external oblique fascia, at the puncture point, and, after making a U-turn superiorly using an additional suture sleeve (Figure 2, schematic). Lead was then tunneled subcutaneouly to the pacemaker pocket created by a separate incision over right lumbar region above external oblique fascia. A VVIR (RESR01-RELIA, Medtronic) pulse generator was also doubly secured to underlying fascia and subcutaneous tissue to prevent gravitational sagging. Finally, tissue and skin were sutured in layers and pressure dressing was done. Operating time was 78 minutes. Abdomino-thoracic radiograph showing final position of old leads and new implant is seen in figure 4.


Download Image

Figure 2: (A) Dissection upto fascial plane before needle puncture. (B) Schematic showing site of incision - I, subcutaneous route of lead, and pacemaker pocket - P. Fluoroscopic (C) and echocardiographic (D) appearance of atrial alpha-loop to reduce risk of dislodgement.


Download Image

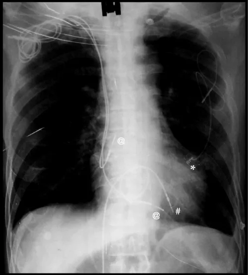
Figure 3: (Final position of pacemaker, new transiliac ventricular lead (#), old subclavian atrial (@) & ventricular leads (@), and epicardial lead (*) on thoracic-abdominal radiograph.


Download Image

Figure 4: Abdomino-thoracic radiograph showing final position of old leads and new implant.

Patient was ambulated on 2nd postoperative day and discharged after 5 days on oral anticoagulation to prevent DVT. He was completely asymptomatic, lead parameters were satisfactory and no local implantation site-related issues were noted, at follow-up visit after 6 months. Six-monthly follow-up in pacemaker clinic is planned.

Complete venous occlusion has been reported in 5% - 12% patients after pacemaker implantation and 3% - 18% patients after ICD implantation [3]. Although less than 10% of these patients are symptomatic as collateralization is adequate, complete occlusion can lead to problems during lead revision or device exchange [3]. Various strategies for circumventing this complication include lead extraction and recanalization, inside-out (retrograde) recanalization, venoplasty, surgical bypass, and novel leadless pacemakers [4].

In our patient, we meticulously tried to extract the leads and to recanalize SVC via Brokenborough/Mullins trans-septal puncture system in 2015, but failed. Perhaps long-standing fibrotic occlusion prevented success of all attempts and patient had to undergo epicardial lead placement. Apart from the risk of general anesthesia and more invasive surgery, epicardial leads increase battery drain due to higher thresholds and have shorter operating life (compared to endocardial lead) [5]. They have a higher rate of lead fracture due to tunneling between or beneath ribs to subcutaneous pocket [5]. Failure of even the ‘bail-out’ epicardial lead only within 2 years mandated alternative management strategy.

Ilio-femoral access for permanent pacing was first described by El Gamal and Van Gelder almost 40 years ago [6]. Femoral vein [7], iliac vein [1,8] and direct inferior vena cava [9], approaches have since been used for lead placement in cases of SVC occlusion. Supra-inguinal lead position via iliac vein access is probably safer in Indian subcontinent where prevalent social customs include repeated squatting. Pacemaker site infection, thrombophlebitis, thromboembolism, lead/generator erosion and surprisingly, even lead fractures are relatively rare complications in iliofemoral approach, reported in less than 1% [8,9]. Lead dislodgement is the major problem in infradiaphragmatic implantation with atrial dislodgement rates up to 21% and ventricular up to 7% [8,9]. Active fixation leads and creation of extra loop in atria probably decreases this risk. We chose ventricle-only pacing for this patient to minimize risk of dislodgement and unplanned re-procedures.

Leadless pacemaker would have been an ideal choice for this patient but was not possible for financial reasons as the patient didn’t have any medical insurance cover for his treatment and the cost was prohibitive for him. Dedicated lead extraction procedures and implanting newer leads through the same passage of extraction would have been another option in non-resource constrained situation and in centers having adequate expertise in the procedure.

  1. Tsutsumi K, Hashizume K, Kimura N, Taguchi S, Inoue Y, et al. Permanent pacemaker implantation via the iliac vein: An alternative in 4 cases with contraindications to pectoral approach. J Arrhythmia. 2010; 26: 55-61.
  2. Seow S, Lim T, Singh D, Yeo W, Kojodijojo P. Permanent pacing in patients without upper limb venous access: a review of current techniques. Heart Asia. 2014; 6: 163–166. PubMed: https://www.ncbi.nlm.nih.gov/pubmed/27326197
  3. Rozmus G, Daubert JP, Huang DT, Rosero S, Hall B, et al. Venous thrombosis and stenosis after implantation of pacemakers and defibrillators. J Interv Card Electrophysiol. 2005; 13: 9-19. PubMed: https://www.ncbi.nlm.nih.gov/pubmed/15976973
  4. Burri H. Overcoming the challenge of venous occlusion for lead implantation. Indian Pacing Electrophysiol J. 2015; 15: 110-112. PubMed: https://www.ncbi.nlm.nih.gov/pmc/articles/PMC4750115/
  5. Tomaske M, Gerritse B, Kretzers L, Pretre R, Dodge-Khatami A, et al. A 12-year experience of bipolar steroid-eluting epicardial pacing leads in children. Ann Thorac Surg. 2008; 85: 1704-1711. PubMed: https://www.ncbi.nlm.nih.gov/pubmed/18442570
  6. El Gamal M, Van Gelder B. Preliminary experience with the helifix electrode for transvenous atrial implantation. PACE. 1979; 2: 444–454. PubMed: https://www.ncbi.nlm.nih.gov/pubmed/95313
  7. Mathur G, Stables RH, Heaven D, Ingram A, Sutton R. Permanent pacemaker implantation via the femoral vein: an alternative in cases with contraindications to the pectoral approach. Europace. 2001; 3: 56-59. PubMed: https://www.ncbi.nlm.nih.gov/pubmed/11271953
  8. Ellestad MH, French J. Iliac vein approach to permanent pacemaker implantation. Pacing Clin Electrophysiol. 1989; 12:1030-1033. PubMed: https://www.ncbi.nlm.nih.gov/pubmed/2476736
  9. Brueck M, Bandorski D, Kramer W, Rauber K. Inferior Vena Cava Approach to Permanent Pacemaker Implantation. PACE 2007; 30: 813-816. PubMed: https://www.ncbi.nlm.nih.gov/pubmed/17547621